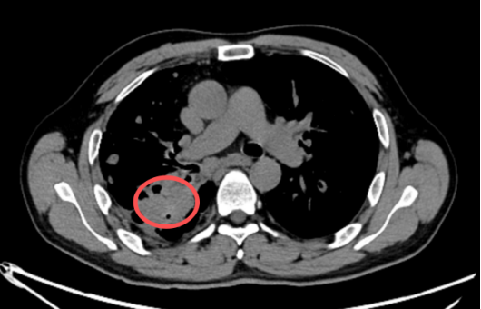
近日,在湘潭市第一人民医院放射科,上演了一场与死神的赛跑。一位年轻的肺结核患者突发咯血,命悬一线。幸运的是,医生凭借敏锐的洞察力,通过“支气管动脉CTA(即CT血管造影)”的检查,精准捕捉到了潜伏在其肺部深处的“隐形杀手”——Rasmussen动脉瘤。
这一发现不仅挽救了患者的生命,也为医生敲响了警钟:肺结核痊愈后,身体里可能还埋藏着致命的“定时炸弹”。
Rasmussen动脉瘤,并非真正的肿瘤,而是一种“假性动脉瘤”,常发生于肺结核空洞患者,因结核病灶侵蚀肺空洞壁内的肺动脉分支血管壁,导致血管局部变薄、膨出,形成一个仅由纤维组织包裹的脆弱“气球”,极易破裂引发大出血,患者可能在短时间内因窒息或失血性休克而死亡。
为什么如此危险?Rasmussen动脉瘤伪装性强,在普通的胸部CT平扫中,这个动脉瘤可能仅仅表现为肺部的一个“结节”或“空洞内的软组织影”,极易被误诊为肺癌、炎症或普通的结核病灶;突发致命,它是导致肺结核患者大咯血的最主要原因,很多患者平时可能只有轻微的咳嗽或痰中带血,但一旦动脉瘤破裂,出血量往往巨大且迅猛;操作风险,若误诊为肿瘤并进行支气管镜活检或经皮肺穿刺,那无异于“引爆”炸弹,会导致瞬间的大出血,后果不堪设想。

在湘潭市第一人民医院的这例抢救中,支气管动脉CTA技术发挥了至关重要的作用。普通CT平扫,只能看到“山的轮廓”,可能只觉得那里有个包块。而支气管动脉CTA相当于给血管注入了“显影剂”,能清晰地看到“山里的水流”。它能明确显示病灶是否由血管组成,明确动脉瘤的位置、大小以及供血血管,为治疗提供精确“导航”,避免盲目操作带来的风险。
传统开胸手术风险高,目前首选介入栓塞术。通过大腿根部微小穿刺点,将导管送达动脉瘤处,释放弹簧圈等材料堵塞瘤腔,阻断血流。该方法不开胸,创伤小、恢复快,能迅速切断出血源头,如同在血管内筑起一道“堤坝”,将危险的“洪水”拦截在源头。
肺结核虽然大多可以治愈,但留下的“痕迹”有时需要患者终身关注。如果您或您的家人有以下情况,请务必提高警惕:既往有陈旧性肺结核、肺结核空洞病史,尤其曾有咯血者,需长期保持警惕;如果出现反复痰中带血或突发咯血,哪怕出血量不大,也应立即就医;在医生评估有风险时,应积极配合进行增强CT或CTA检查,以排除血管畸形的可能;结核治疗务必规范、全程,以减少对肺组织和血管的持续破坏。
Rasmussen动脉瘤虽危险,但只要我们认识它、重视它,借助现代医学影像技术和微创介入手段,就能在它引爆之前成功拆除。
来源:湘潭市第一人民医院
作者:唐仁
编辑:杨莉莎
本文为湘潭站原创文章,转载请附上原文出处链接和本声明。
时刻新闻